ELAZIĞ (AA) - Elazığ'da 3 yaşındaki çocuğun yuttuğu ve yemek borusunu tıkayan 19 mıknatıs, Fırat Üniversitesi Hastanesi'nde yapılan başarılı bir operasyonla çıkarıldı.
Alınan bilgiye göre, Erzurum'da evde oyun oynarken bulduğu 19 mıknatısı yutan çocuk, rahatsızlanması üzerine ambulansla Erzurum Şehir Hastanesi'ne kaldırıldı.
Çocuk, burada yapılan tetkiklerin ardından ambulans helikopterle Fırat Üniversitesi (FÜ) Hastanesi'ne sevk edildi.
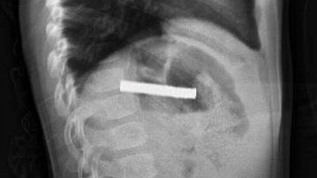
Hastanede, FÜ Çocuk Gastroenteroloji Hepatoloji ve Beslenme Bilim Dalı Başkanı Prof. Dr. Yaşar Doğan tarafından yapılan tetkiklerde mıknatısların yapışarak çocuğun yemek borusunu tıkadığı tespit edildi.
Doğan ve ekibi tarafından yapılan müdahaleyle çocuğun yemek borusundaki mıknatıslar başarılı bir şekilde çıkarıldı.
Bir süre gözetim altında tutulan çocuk daha sonra taburcu edildi.
Doğan, AA muhabirine, çocuğun durumunun acil olması nedeniyle ambulans helikopterle kendilerine getirildiğini belirtti.
Yapılan operasyon hakkında bilgi veren Doğan, 'Tabi bu mıknatıslar uzun süre hastanın yemek borusunda kaldığı için biraz hasar bırakmıştı. Çok güçlü mıknatıslardı. İşlemin kolay yapılabilmesi için mıknatıslar yemek borusundan mideye alındı, mideden özel bir fileyle çıkarıldı. İşlemden sonra hastayı gece boyunca gözlem altında tuttuk. Sabah da aile kendi isteğiyle çıkarmak isteyince, hastanın da genel durumu iyi olduğundan taburcu ettik.' dedi.
Doğan, ailelerin küçük çocuklarının erişebileceği noktalarda küçük cisimleri bulundurmamaları tavsiyesinde bulunarak, çocukların bu cisimleri yutma riskinin bulunduğunu kaydetti.





